- Gösterim: 10071
Gebelik sırasında anne adayında immünolojik, hormonal, metabolik ve dolaşım-damarsal sistemde fizyolojik ve patolojik değişiklikler meydana gelir. Bunlar; deri ve deri ekleri olan saç, vücut kılları, tırnak, ter, yağ bezleri ve apokrin bezlerini etkilemektedir. Gebelik süresince sık olarak karşılaşılan bu değişimler, bazen anne adaylarında ciddi anksiyeteye yol açabilecek düzeyde olabilir. Bu değişikliklerin tanınması, doğru sınıflandırması ve tedavi gereksinimini belirlemek için oldukça önemlidir.
Gebelik, belirgin ve oldukça karmaşık fizyolojik değişikliklerin olduğu bir dönemdir.
Bu değişikliklerin bir kısmı fetüs-plasenta tarafından üretilen protein ve steroid yapısındaki çeşitli hormonlara bağlı olabileceği gibi, annenin hipofiz, tiroid ve adrenal bezlerindeki aktivite artışına da bağlı olabilmektedir.
Gebelik Hormonları ve Etkileri
Plasenta tarafından üretilen protein yapıdaki hormonlar arasında İnsan Koryonik Gonadotropin (), İnsan Plasental Laktojen () veya İnsan Somatomammotropin, İnsan Koryonik Tirotropin ve İnsan Koryonik Kortikotropin bulunur. Steroid hormonlar arasında ise Progesteron ve Östrojen vardır.
-
düzeyleri gebeliğin 10-12. haftaları arasında en yüksek düzeyine ulaşır ve gebelik boyunca yüksek kalır.
-
Progesteron ve Östrojen değerleri gebeliğin birinci ve ikinci dönemlerinde yükselir ve üçüncü döneminde bir plato değerde sabit kalır.
Bu hormonların deri fizyolojisi, immünolojisi ve inflamatuar cevap üzerindeki rolü tam olarak bilinmemektedir.
Maternal Bezlerdeki Aktivite Değişiklikleri
Anneye ait bir kısım değişiklikler ise maternal hipofiz, tiroid ve adrenal bezlerdeki aktivite artışına bağlıdır. Bu hormonlar gebelik süresince farklı düzeylerde salgılanır ve düzeyleri, gebeliğin durumu ve komplikasyonlar açısından tanısal öneme sahiptir.
-
Ön hipofiz bezi genellikle ağırlığının iki katı kadar büyümüştür; , prolaktin ve gonadotropin salınımı artmıştır.
-
Buna bağlı olarak uyarılan adrenal korteks hipertrofiye uğrar; kortizol, aldosteron ve dehidroepiandrosteron üretimi artar.
-
Tiroid bezinde genellikle ikinci trimesterden itibaren büyüme başlar. İyot alımı artmıştır. Total ve seviyeleri artarken, serbest hormon seviyeleri değişmez ve normal sınırlar içinde kalır.
İmmünolojik Değişiklikler
Ayrıca gebelik döneminde, genetik olarak farklı olan fötal dokunun tolere edilebilmesi için bir takım immünolojik değişikliklerin oluşması gerekmektedir. Bu değişiklikler başlıca hücresel immünitede azalma şeklinde ortaya çıkar. Bunun sonucunda ise bazı enfeksiyonlara karşı yatkınlık oluşmakla birlikte, başta immün aracılı hastalıklar olmak üzere bir takım hastalıkların seyrinde değişiklikler meydana gelir.
Değişimlerin Sınıflandırılması
Gebelik ve derimizdeki bu değişimler 3 grupta incelenir:
-
Gebelikte görülen fizyolojik deri değişiklikleri
Gebelik Sırasında Görülen Fizyolojik Deri Değişiklikleri
Fizyolojik deri değişiklikleri, gebenin hipofiz, tiroid ve adrenal bezlerindeki aktivite artışına ek olarak fetüs-plasentasından salgılanan hormonlara bağlıdır. Bundan dolayı bu deri değişiklikleri fizyolojik veya endokrin orjinli deri değişiklikleri olarak isimlendirilir.
Pigmentasyon Değişiklikleri
Hiperpigmentasyon (Deride Renk Koyulaşması)
Gebelik sırasında oldukça yaygın olup, gebelerin 'ından fazlasında görülür. Koyu saç ve tenlilerde daha fazladır. Koyulaşma; meme başı-areola, genital bölge, koltuk altı ve karın duvarı orta hattında daha belirgindir. Karın duvarı orta hattında yer alan linea alba, koyulaşarak linea nigra (linea fuska) hâline gelir.

Areola çevresindeki deride koyulaşma ise sekonder areola olarak tanımlanır. Hiperpigmentasyon genelde gebeliğin erken dönemlerinde başlar, doğuma kadar giderek artar ve genellikle doğum sonrası geriler. Ancak çoğu zaman önceki rengine dönmez.
Birçok kadında benlerinin sayısında, çaplarında ve aktivitelerinde artış dikkat çeker. Ayrıca efelidlerde (çillerde) artış ve melazmalarda koyulaşma olabilmektedir. Bunun gelişiminde başlıca östrojen ve progesteron seviyelerindeki artış sorumlu tutulmaktadır.
Melazma (Kloazma, Gebelik Maskesi)
Yüzde tipik olarak güneşe en çok maruz kalan alanlarda görülen yaygın renk artışıdır. Melazma, gebe kadınların 'inden fazlasında; doğum kontrol hapı kullanan, gebe olmayan kadınlarda ise oranlarında bildirilmiştir. Genellikle ikinci 3 aylık gebelik döneminde görülmeye başlar.
Tüm ırklarda ve etnik gruplarda görülmekle birlikte, genellikle doğurganlık çağındaki, koyu deri tipine sahip (deri tipi ) kadınlar etkilenmektedir. Melazma kadınlarda görülmekle birlikte, oranında erkeklerde de görülebilir. Hiperpigmentasyon; alın, burun, çene, yanaklar ve üst dudakta yerleşmektedir.
Çoğu vakada melazma, doğum sonrasında yaklaşık bir yıl içinde tamamen geriler. Ancak sonraki gebeliklerde veya doğum kontrol hapı kullananlarda nüks olabilir.
Nedeni tam olarak bilinmemekle birlikte, genetik ve hormonal etkilerin, -güneşin ve bunların kombinasyonunun önemli olduğu düşünülmektedir.
Diğer etiyolojik faktörler arasında doğum kontrol hapları, östrojen replasman tedavisi, hafif over ve tiroid disfonksiyonu, ovarian tümörler, beslenme, psikosomatik faktörler, fototoksik ve fotoalerjik ilaçlar, kozmetikler, hepatik hastalıklar ve parazit enfestasyonları yer almaktadır.
Gebelik sırasında artan östrojen ve progesteron melanogenezi uyararak hiperpigmentasyona neden olur. Özellikle koyu tenli olan kadınlarda lezyonlar daha belirgindir.
Vücut Kıllları ve Saç Değişiklikleri
Hirşutizm
Gebe kadınlarda, gebeliğin erken dönemlerinden itibaren, yüz bölgesi (üst dudak, çene ve yanaklar) başta olmak üzere, kollar, bacaklar, sırt ve suprapubik bölgelerde belli bir dereceye kadar kıllanmada artış ve kıllarda belirginleşme görülebilir. Bu durum, özellikle daha önceden belirgin vücut kılları olan veya oldukça koyu saç rengine sahip olan kadınlarda daha sık ortaya çıkar. Linea nigra üzerindeki kılların büyümesi gebelik sırasında görülebilir. Akne genellikle hirşutizme eşlik eder. Gebelik sırasında artan androjen ve östrojen üretimi sonucu oluştuğu düşünülür. Hirşutizm genellikle doğumdan sonraki 6 ay içinde veya doğumun hemen ardından gerileyebilir; fakat kalın ve sert kıllar kalıcı olabilir.
Postpartum Telogen Effluvium
Birçok kadın gebeliği sırasında saçlarının gürleştiğini ve arttığını ifade etmektedir. Bu durumun saçlı deride uzamış anajen faza bağlı olduğu düşünülmektedir.
Doğumdan hemen sonra, anajen fazda olan saçlar, hızlı bir şekilde telojen faza geçer ve bu durum telojen effluvium ile sonuçlanır. Dökülme, doğumdan 4 ila 20 hafta sonra başlar ve genellikle birkaç ay devam eder. Saçların tekrar yapılanması ila ayı bulabilir. Gebeliğe bağlı gelişen telojen effluviumda doğum sonrası stres ve endokrin dengelerin değişimi gibi çeşitli faktörler de rol oynayabilir.
Postpartum Androjenik Alopesi Benzeri Saç Kaybı
Bazı kadınlarda, gebeliğin ilerleyen dönemlerinde, hafif derecede erkeksi tipte frontoparietal alopesi ve saçlarda diffüz incelme meydana gelebilir. Nedeni tam bilinmemekle birlikte, yüksek steroid hormon düzeylerine ikincil olarak gelişen gonadotropik aktivite inhibisyonunun önemli rol oynadığı düşünülür. Bu durum genellikle doğumdan sonra normale döner.
Tırnak Değişiklikleri
Birinci trimesterden itibaren görülebilen tırnak değişiklikleri; tırnak uzama hızında artış, kırılma ve yumuşama, distal onikoliz ve subungal hiperkeratozdur. Beau çizgileri olarak da bilinen transvers oluklanmalar doğumdan sonra oluşabilir. Bu değişikliklerin nedeni bilinmemektedir. Sonraki ay ila yıl içinde normale döner.
-
Subungal hiperkeratoz (Tırnak altı kalınlaşması)
-
Distal onikoliz (Tırnağın uçtan ayrılması)
-
Transvers oluklanma
-
Tırnaklarda kırılganlık
Deri Bezlerinde Değişiklikler
Artmış Ekrin Fonksiyon (Terleme Artışı)
Gebelik sırasında ekrin aktivite belirgin derecede artabilir. Bu durum; hiperhidrozis (aşırı terleme), miliyarya (isilik) ve dishidrotik egzemanın gebelikte artan sıklığını açıklayabilir. Ekrin aktivitedeki artışın nedeni tam bilinmemekle birlikte, kilo artışı ve artmış tiroid aktivitesinin rol oynayabileceği düşünülmektedir.
Gebelikte artan ekrin aktiviteye karşın ilginç bir şekilde palmar (avuç içi) terlemesi azalır. Bu, artan adrenokortikal aktiviteye bağlı olabilir.
Artmış Sebase Fonksiyon (Yağ Salgısı Artışı)
Gebelikte, özellikle son üç ay boyunca sebase bez aktivitesi ve buna bağlı olarak sebum üretimi giderek artar. Bu nedenle gebelik sırasında deride yağlanma, oldukça sık görülen şikayetlerden biridir. Gebeliğin akne üzerindeki etkisi tam olarak bilinmemekle birlikte, gebelerin çoğunda ilk üç aydan itibaren akne gelişebilmektedir.
Gebelik sırasında meme başında ve çevresinde areoladaki sebase bezler genişleyerek, küçük kahverengi papüller hâline gelir. Bunlar Montgomery bezleri veya tüberkülleri olarak adlandırılır.
Çoğul gebeliklerde sebum salgısının, tekil gebeliklerden farklı olmaması; sebotropik (yağ bezini uyarıcı) faktörlerin plasentadan çok, hipofizer kaynaklı olduğuna işaret etmektedir. Emziren kadınlarda bez aktivitesinin azalmaması da hipofizer faktörlerin etkisini desteklemektedir.
Azalmış Apokrin Fonksiyon
Öne sürülen çelişkili kanıtlar olmasına rağmen, genellikle gebelik sırasında apokrin bez aktivitesinde azalma görülür. Bu durum, gebelik öncesi var olan Fox-Fordyce hastalığı ve hidradenitis süpürativanın klinik olarak iyileşmesi ile ilişkilendirilmiştir.
Deri Destek Doku Değişiklikleri
Stria Distensa (Stria Gravidarum veya Gebelik Deri Çatlakları)
Klinik olarak başlangıçta eritemli (kırmızı) veya viyolase (mor) renkte olup, doğumdan sonra giderek deri renginde veya hipopigmente (açık renkli), atrofik çizgilere dönüşen, ince veya kalın lineer bantlar ile karakterizedir.
Genellikle karın, kalçalar, distal femoral alanlar, inguinal bölge ve memelerde, sıklıkla 24. gebelik haftasından sonra ortaya çıkar. Gerçek nedeni bilinmemekle birlikte, dermiste elastin ve fibrillin miktarında azalma ve yeniden düzenlenme gibi bir takım deri destek dokusu değişiklikleri sonucunda geliştiği düşünülür.
Patogenezde, hormonal faktörlerle birlikte mekanik direnç artışı suçlanır. Başlıca suçlanan hormonlar; östrojen, relaksin ve adrenokortikal hormonlardır. Ayrıca östrojen reseptörleri taşıyan mast hücrelerinin salgıladıkları bazı sitokinler de kollajeni yıkarak stria oluşumunda önemli rol oynayabilirler.
'nin sıklığı ve risk faktörleri ile ilgili sınırlı ve genellikle çelişkili veriler vardır. Gebe kadınlarda sıklığının 'ın üzerinde olduğu tahmin edilirken, bazı yazarlar 'nin altında olduğunu bildirmişlerdir.
'nin gelişiminde ileri sürülen risk faktörleri; aile öyküsü, ırk, deri tipi, doğum kilosu, Vücut Kitle İndeksi (), yaş, kilo alımı ve yetersiz beslenme olup, bunların birçoğu kanıtlanamamıştır.
Damarsal Değişiklikler
Gebelik sırasında kanda artan östrojen düzeyine bağlı olarak kan damarlarında genişleme, çoğalma ve yeni damar oluşumu gibi bir takım değişiklikler meydana gelir. Bu damarsal değişikliklerin çoğu doğum sonrası geriler.
Spider Anjiyom (Örümcek Benler)
Ortadaki besleyici bir arteriolden, etrafa yayılan genişlemiş kapillerin oluşturduğu, gerçekten de örümceğe benzeyen fokal ağ yapısıdır. Spider anjiyomlar en sık gebeliğin 2. ve 5. ayları arasında ortaya çıkar. Yapılan bir çalışmada beyaz kadınların 'sinde, siyah kadınların ise 'inde gebelik sırasında oluştuğu bildirilmiştir.
En sık yüz (özellikle göz çevresi), boyun, göğüs ve kollarda lokalize olur. Lezyonlar gerek sayıca gerekse boyut olarak doğuma kadar giderek artış gösterir. Spider anjiyomların yaklaşık 'i, doğumdan sonraki yedi hafta içinde kendiliğinden geçer. Bu durum, artan östrojen hormonuna bağlı geliştiğini desteklemektedir.
Palmar Eritem (El İçi Kızarıklık)
Gebelik sırasında oldukça yaygın olup, özellikle ilk 3 ayda beyaz kadınların 'sında, siyah kadınların ise 'ünde görülebilmektedir. Palmar eritem bazen kırmızı, bazen de morumsu hatta beyaz alanlarla karakterize, yaygın benekli eritem şeklinde de ortaya çıkabilir. Benekli patern daha yaygındır. Palmar eritem ve spider anjiyomlar genellikle birlikte bulunur.
Patogenezde; dolaşımda artan östrojen ve/veya yeni damarlanma faktörü düzeyi, kan volümündeki artış ve genetik yatkınlık suçlanmaktadır. Lezyonlar doğumdan sonraki 3 ay içinde geriler.
Ödem (Şişlik)
Gebe kadınların yarısından fazlasında; yüzde, göz kapaklarında, ellerde, ayaklarda ve ayak bileklerinde daha belirgin olmak üzere tüm vücutta yaygın, basmakla çukurluk bırakmayan ödem bulunabilir. Ödem genellikle günün ilk saatlerinde daha belirginken, gün içinde giderek azalır. Bu; ödemin kardiyak, renal ve preeklamptik ödemden ayrımında önemlidir.
Patogenezde; damarsal doku geçirgenliğinin artışı, sodyum ve su tutulumundaki artış ile hücreler arası sıvının değişikliğe uğraması rol oynar. Ayaklardaki ödem, uterusun vena cava inferior (alt ana toplardamar) üzerine bası yaparak venöz dolaşımı bozması ile de artar.
Varisler ve Hemoroid
Varisler veya hemoroidal venöz genişlemeler, gebe kadınların yaklaşık 'ında, genellikle son 3 aydan itibaren meydana gelebilecek komplikasyonlardır. Ailevi yatkınlık, büyüyen uterusun femoral ve pelvik damarlara basısı ve damarların genişlemesine neden olan hormonal değişimler sonucu, venöz basınçtaki artışa bağlı olarak genellikle bacaklar ve kasıkta küçük varisler meydana gelir. Uzun süreli oturma veya ayakta durma şikayetleri artırır. Varislere bağlı damarlarda tıkanma 'un altındadır; tromboflebit gibi diğer komplikasyonlar ise oldukça nadirdir.
Vazomotor Dengesizlik
Yüzde kızarma atakları, solukluk, sıcak veya soğuk basmaları, bacaklarda cutis marmorata (ciltte mermer görünümü) ile daha önceden var olan Raynaud fenomeni, dermografizm ve kurdeşen gibi tabloların şiddetlenmesi ile karakterizedir.
Gebelik sırasında kapiller kolay hasarlanabilme ve damar dışına sıvı geçişi artışı ve artmış östrojen düzeylerine ikincil olarak vazomotor dengenin bozulmasına bağlı geliştiği düşünülmektedir.
Purpura (Deri Altı Kanamaları)
Deri altı kanamalarıdır. Bacaklarda yaygın olan purpurik lezyonlar, genellikle gebeliğin ikinci yarısında gelişir. Kapiller geçirgenlik (permabilite) ve kırılganlık (frajilite) artışına bağlı geliştiği düşünülür.
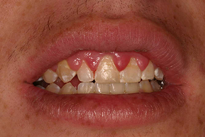
Gingival Hiperemi (Diş Eti Kızarıklığı)
Gingival aşırı kızarıklık, gebelerin neredeyse tamamında değişken derecelerde bulunabilmektedir. Bazen buna diş eti iltihabı olan gingivit de eşlik edebilir.
Mukozal Değişiklikler
Gingivit (Diş Eti İltihabı)
Sıklıkla gebeliğin son 3 ayında ortaya çıkar ve doğumdan sonra giderek geriler. Daha önceden var olan periodontal hastalık, hijyen eksikliği, yetersiz beslenme ve lokal irritan faktörlere bağlı olarak şiddeti artabilir. Gebelerin 'sinde, damarlarda çoğalma ile karakterize büyümüş ve kabarmış gingivaya eşlik eden şiddetli gingivit sonucunda granuloma gravidarum veya gebelik epulisi olarak adlandırılan tablo gelişebilir.
Jacquemier - Chadwick Bulgusu
Gebeliğin erken dönemlerinde damarlanma artışına bağlı olarak vestibül ve vajinada şişlik ve eritem ile karakterize bulgudur.
Goodell Bulgusu
Rahim ağzında (servikste) damarların artışına bağlı olarak görülen mavimsi renk değişikliğidir.
Kaşıntı (Pruritus)
Tüm bu fizyolojik deri değişikliklerine ek olarak, bazı kaynaklarda idyopatik pruritus da fizyolojik deri değişiklikleri içinde değerlendirilmektedir.
Lokal ya da genel kaşıntı gebelik sırasında yaygındır ve sıklığının civarında olduğu söylenir. En sık karın bölgesinde ortaya çıkar. Pruritus genellikle gebeliğin erken dönemlerinde, özellikle ilk 3 ay sırasında görülmektedir.
Nedeni, östrojenler ile karaciğer kaynaklı olduğu düşünülmektedir. Herhangi bir biyokimyasal bozukluğa neden olmaz. Bu durumda semptomatik tedavi uygulanır.




