- Gösterim: 90047
Cıva'nın sembolü “Hg” ve Latince’deki (sulu/sıvı gümüş) sözcüğünden gelir. Cıva için İngilizcede ise iki sözcük kullanılır: “mercury” ve “quicksilver” (akıcı gümüş). Farsça “hareketli, ele sığmaz” anlamındaki “cive” kelimesinden Türkçeye geçmiştir.
Atom numarası 80, atom kütlesi ’dur. Element tablosunun 2-B grubunda yer alır.

Cıva metali, “zincifre” adı verilen ve lavların tortulaşması ile oluşan kırmızı renkli bir madenden elde edilir. Başlıca minerali formülüyle gösterilen kırmızı bir sülfürdür (zincifre).
Cıva; hava, su ve toprakta elemental cıva, inorganik ve organik cıva bileşikleri şeklinde bulunur. Metil cıva, çok daha zehirli bir maddedir ve organik cıva bileşiğidir. Bazı mikroorganizmalar cıvayı, metil hale dönüştürür.
Elemental cıva ve ’de buharlaşmaktadır. Gümüş renkli, ağır bir metal olan cıva, oda sıcaklığında () sıvı halde bulunan 5 elementten birisidir. Cıva ayrıca, iyi bir ısı ve elektrik iletkenidir.
Cıva zehirli ve pahalı bir maddedir. Doğada sülfür halinde bulunurken, daha çok Meksika, İspanya, İtalya, Kaliforniya ve Peru'da görülür. Ülkemizde de bulunmaktadır. İnorganik cıva tuzları, genel olarak beyaz toz şeklinde ya da kristal halde bulunur. Cıva, diğer metallerle kolayca alaşım oluşturur. Bu alaşımlara amalgam adı verilir.
Kullanıldığı Alanlar
-
Termometre ve barometre gibi bilimsel aygıtlarda kullanılır (günümüzde bu uygulamadan vazgeçilmektedir).
-
Amalgam alaşımı dişleri doldurmakta kullanılır.

-
Kırmızı cıva (II) sülfür (), vermilion adı altında kırmızı boya olarak kullanılır. Gemi teknelerinin su altındaki kısmı bu boyayla boyanarak midye ve istiridyelerin tekneye yapışarak toplanmaları önlenir.
-
Cıva buharlı lambalarda kullanılır. Bu lambalar beyaz parlak bir ışık verir.
-
Aynaların sırlanmasında, altın ve gümüş üretiminde ve bazı elektrik devre anahtarlarının yapımında da cıva kullanılır.
Cıvanın Toksikolojik Özellikleri
Cıva doğada metalik, inorganik ve organik cıva formlarında bulunur. Tüm formları canlılar ve doğa için toksiktir ve bu formların toksikolojik özellikleri birbirinden farklıdır. Zehirlenme durumunda klinik semptomlar; cıvaya maruz kalmanın sıklığına, şiddetine, vücutta uğradığı biyotransformasyonun şekline ve dağılım oranına, birikime uğradığı veya atılıma uğradığı hedef organa göre farklılıklar göstermektedir.
-
Metalik cıva buharının acil yaşam tehdidi oluşturan miktarı ’tür.
-
Cıva klorür en toksik inorganik cıva bileşiklerindendir. Ağız yoluyla alındığında ’ı öldürücüdür.
-
Organik cıvanın öldürücü miktarı ’dır. Kronik olarak alındığında ise sinir sistemi ve üreme sistemi üzerine toksiktir.
Metalik Cıva
-
Metalik cıva buharı renksiz ve kokusuzdur. Lipidde çözünebilir; bu nedenle organizmada %80 oranında birikim olur.
-
Metalik cıva buharı akciğerden hızla emilerek santral sinir sistemine dağılabilir. Bunun yanında deriden de emilebilir.
-
Termometre, barometre, floresan lambalar, aynaların sırlanması, altın ve gümüş üretiminde yaygın olarak kullanılmaktadır.
İnorganik Cıva
-
; klor, sülfür ve oksijen ile birleştiğinde inorganik cıva bileşikleri (cıva tuzları) oluşmaktadır.
-
Cıva klorür ve cıva iyodür cilt rengini açıcı kremlerde kullanılmaktadır. Cıva klorür topikal antiseptik ve dezenfektan olarak da kullanılır.
-
Cıva klorür en toksik inorganik cıva bileşiklerindendir.
-
Merkürik nitrat, keçe şapka yapımında keçenin tuzlanması aşamasında kullanılmaktadır. 1860 yılında şapka yapımında çalışan işçilerde “deli şapka işçisi sendromu” olarak adlandırılan nörolojik bir tablo tanımlanmıştır.
Organik Cıva
-
Cıva; karbon ile birleştiğinde organik cıva bileşikleri oluşmaktadır.
-
Metil cıva, en yaygın bulunan organik cıva bileşiğidir ve insan ve hayvanlar için güçlü nörotoksiktir.
-
Lipofilik özelliği yüksek değildir, ancak proteinlere güçlü sülfhidril bağları ile bağlanması yoluyla biyolojik dokularda birikime uğrayarak toksik etkisini gösterir.
-
Metil cıva ile hazırlanan tarım ilaçlarının kullanımı sonucunda akarsu, göl ve denizlerin kontaminasyonu olur ve içme suyunda, balıklarda ve deniz memelilerinde yüksek miktarda birikebilir.
-
Dimetil cıva, son derece toksiktir; birkaç mikrolitresi deriye yayıldığında ölüme yol açabilir.
-
Metil cıva teratojendir. Plasenta ve anne sütü aracılığıyla bebeğe geçebilir.
-
Minamata hastalığı, 1956 yılında Japonya'da ’ın kimyasal fabrikasından endüstriyel atık suyun içinde metil cıva salınması sonucu yerel halkta cıva zehirlenmesi olarak tanımlanmıştır.
Cıvanın İnsan Sağlığı Üzerine Etkileri
Cıvanın tüm kimyasal formları toksik bulgulara neden olabilir. Ciddi zehirlenmelerde sinir sistemi, böbrekler, solunum sistemi, immün sistem, ağız, diş ve diş etleri ile cilt etkilenmektedir.
-
Cıvanın asıl toksik etkisi, sülfhidril grupları ile reaksiyona girmesi sonucu, enzim inhibisyonuna, transport mekanizmalarında ve yapısal proteinlerde disfonksiyona neden olması üzerinden gerçekleşir.
-
Hamilelik esnasında cıvaya maruz kalma, bebekte ciddi konjenital kusurlara ve düşüklere yol açabilir. Erkeklerin cıvaya maruz kalması libido azalması, sperm yapımında azalma ve kısırlığa neden olmaktadır.
-
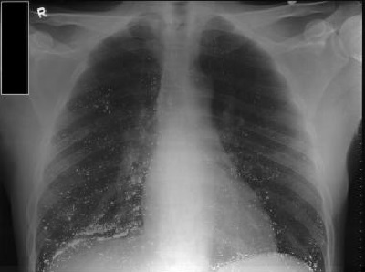
Yüksek düzeylerde cıva maruziyeti sonrası, ölümlerin primer nedeni akciğer hasarıdır (pulmoner ödem).

-
Cıva tuzları gastrointestinal sistemi etkilemekte ve böbreklerde ciddi renal tübüler hasara yol açmaktadırlar.
-
Uzun süreli cıvaya maruz kalma böbrek tümör riskini artırmaktadır.
-
Cıva iyonları tiroit bezinde birikmekte, bu da nodül ve prekanseröz lezyonlara neden olmaktadır.
Cıva Toksikolojisinde Tanı ve Korunma
Tanı
-
Cıva zehirlenmesinin kesin tanısı kan ve idrar örneklerinde cıva düzeylerinin analizi ile yapılmaktadır.

-
Tam kanda cıva analizi, akut metil cıva zehirlenmesinin klinik takibinde kullanılır.
-
İdrarda cıva düzeyi analizi ise metalik cıva ve inorganik cıva zehirlenmelerinin klinik takibinde kullanılmaktadır.
Erişkinlerde kan cıva konsantrasyonu 10 ug/L'nin altında ise normal kabul edilmektedir.
Hafif düzeyde mesleki maruz kalma öyküsü bulunanlarda (ör.diş hekimleri) kan cıva konstrasyonu 15 ug/L'nin altında ise normal kabul edilmektedir.
Tam kan cıva düzeyinin 50 ug/L'nin üzerinde olması ciddi cıva maruziyeti olarak kabul edilmektedir.
Korunma Yöntemleri
-
Cıvalı termometre ve malzemelerin kullanımından sakınılmalıdır.
-
Doğurganlık çağındaki kadınların ve çocukların cıva birikimi daha yüksek olan büyük balıkları (kılıçbalığı, köpekbalığı, uskumru) kısıtlı miktarda tüketmeleri önerilmektedir.
-
Cıva dökülmeleri durumunda ortam havalandırılmalı ve dökülen sıvı cıva eldiven giyilerek güvenli bir şekilde toplanıp cıva atık kutularına atılmalıdır.
-
Diş dolgusunda kullanılan dental amalgam yerine cıva içermeyen dolgular tercih edilmelidir.
Cıvanın Deriden Emilimi ve Reaksiyonları
Cıvanın elemental, inorganik ve organik tüm formları deri ve mukozadan emilebilmektedir. Organik cıva, cıva buharı ve yağda eriyebilen cıva tuzları ( gibi) deriden yüksek oranda penetre olmaktadır.

-
Denetimsiz kozmetik kullanımında, halen bazı cıva içeriklerinin deride renk açması ve leke tedavilerinde kullanıldığını görmekteyiz.
-
Bu içeriklerin uzun süre kullanımı (merküröz klorür, amonyaklı cıva, merküröz oksit vb.), deride cıva tuzlarının birikimine neden olmakta ve bu birikim epidermiste kurşun mavisi bir pigmentasyona yol açmaktadır.

-
Cıva, deride melanojeneziste (pigmentasyonda) rol oynayan tirozinaz enzimini inaktive eder.
-
ve 'de olduğu gibi normal deride cıva Metallotiyoneinler () ile birleşerek stabil kompleksler oluşturmakta ve bu birleşme, deriyi cıva gibi diğer ağır metal toksisitesine karşı korumaktadır.
-
Cıvanın topikal kullanımı sonrası temas duyarlılığı yaptığı ilk olarak 1895 yılında bildirilmiştir. Cıva, vücudun kendi proteinleri ile birleşerek hapten rolü oynamakta ve anafilaktik alerjik reaksiyonlar, ürtiker, immün kompleks duyarlılığı, otoimmünite ve temas egzamasına neden olmaktadır.
-
Cıva duyarlılığı ile ilgili sıklık, ülkelere göre farklılık göstermektedir (örneğin Fransa'da , Japonya'da , ABD'de ).

-
Cıva temas duyarlılıklarında ile yapılan deri testleri %92 pozitif test sonucu vermektedir. Özellikle dişte kullanılan cıva içeren amalgamlar bu duyarlılıktan sorumlu tutulmuştur.
-
Dövme boyası olarak kullanılan zincifre kırmızı boyasında bulunan cıva sülfit deride alerjik reaksiyon ve güneş reaksiyonlarına neden olmaktadır.
Cıva Alerjilerinde Tedavi
-
Selenyum, cıva alerjilerinde antagonist olarak kullanılmakta. Düşük konsantrasyonlarda deriye uygulandığında ya da sistemik alındığında reaksiyonları baskılamakta ve reaksiyonun tekrarını engellemektedir.

